Depuis plusieurs années, le FIDE assure une formation complète des praticiens en chirurgie implantaire. Nos formations vous apportent l’assurance et les connaissances nécessaires à la gestion de vos cas implantaires en toute sécurité, de la chirurgie à la prothèse.
Le FIDE a été fondé en 2005 par le Docteur Franck Bonnet qui dispense, depuis plusieurs années, des formations continues en implantologie élaborés et validés en collaboration avec le Professeur Paul Mariani.
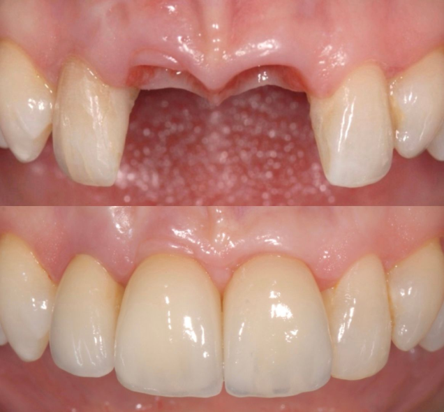
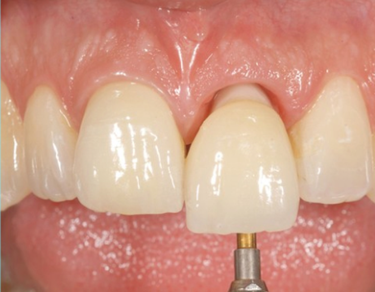
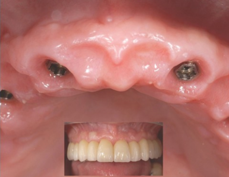
Tous nos cursus d’enseignements comportent des cours théoriques illustrés par des cas clinique traités dans nos pratiques quotidiennes, ainsi que des travaux pratiques vous permettant de réaliser concrètement les actes implantaires tant chirurgicaux que prothétiques, mais également des chirurgies en direct opérées par le docteur Franck Bonnet.
Le but de nos formations intensives est de valoriser votre exercice ; de vous apporter une compréhension et donc une sécurité à toutes les étapes de votre apprentissage, dans vos diagnostics ainsi que dans la réalisation de vos traitements ; de permettre ainsi à vos patients de bénéficier de résultats esthétiques et fiables. Notre principe : aucune rétention d’information.
Notre organisme de formation est reconnu par le FIFPL et le DPC. Ils peuvent sous réserve de validation prendre en partie en charge les frais d’une formation proposée par notre centre.
Notre organisme de formation s’engage à garantir l’accessibilité de ses prestations aux personnes en situation de handicap.
Nous mettons en œuvre les moyens nécessaires pour adapter nos formations en fonction des besoins spécifiques des apprenants.



Le Dr Franck Bonnet vous forme et vous accompagne dans toutes les étapes de vos actes chirurgicaux lors des formations du FIDE à travers des cours didactiques des chirurgies en direct avec questions/réponses en temps réel et des travaux pratiques sur mâchoires animales ou modèles pédagogiques. Découvrez tout son parcours professionnel.
Le Dr Benjamin Rathelot parodontiste exclusif dans le cabinet dentaire Bonnet & Associés vous accompagne aux côtés du Dr Bonnet lors des journées de formation. Il vous accompagnera lors des TP mais aussi lors de vos questions posés au Docteur Bonnet lors des chirurgies en direct.
Elisa, organise les journées de formation du FIDE et sera votre interlocurrice de votre inscription en ligne à votre venue le jour J dans notre institut de formation. Une question sur les indemnités DPC, la logistique ou les demandes de prise en charge ? Toutes les réponses à vos questions sur contact@fide.fr ou au 04 93 99 99 75.
Modalités d’inscriptions et d’accès aux formations.
Analyses des performances 2025 – 2024– – 2023– 2022 – 2021 – 2020 Conditions générales de vente – Modalités d’accueil et de formation
Prise en charges des personnes en situation de handicap Le Handicap, parlons-en
98 % des praticiens sont satisfaits de leur(s) formation(s) réalisée(s) dans notre centre de formation le FIDE.












